O Acidente Vascular Cerebral (AVC), também conhecido como derrame, ocorre quando o fluxo sanguíneo para uma parte do cérebro é interrompido, resultando em danos às células cerebrais.

O Acidente Vascular Cerebral (AVC), também conhecido como derrame cerebral, ocorre quando o fluxo de sangue para uma parte do cérebro é interrompido ou quando há rompimento de um vaso sanguíneo no cérebro.
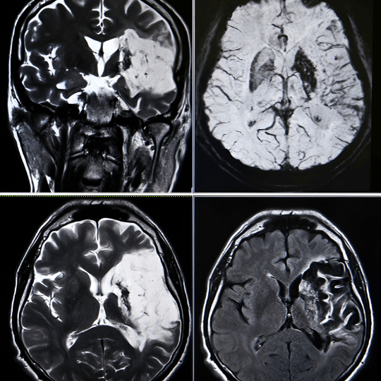
Existem dois tipos principais de AVC: o isquêmico, causado por um bloqueio em uma artéria que impede o sangue de chegar ao cérebro, e o hemorrágico, que acontece quando um vaso sanguíneo no cérebro se rompe, causando sangramento na área afetada.
Ambos os tipos podem levar a danos cerebrais graves, comprometendo funções como movimento, fala, visão e memória. Os sintomas comuns incluem fraqueza em um lado do corpo, dificuldade em falar, perda de equilíbrio e confusão mental.

Na NeuroAfetiv, oferecemos um tratamento neurofuncional especializado para pacientes em recuperação pós-AVC. A reabilitação neurofuncional tem como objetivo ajudar o paciente a recuperar funções motoras, cognitivas e sensoriais que foram afetadas pelo AVC.
Nosso foco é promover o reaprendizado de habilidades e melhorar a independência do paciente, sempre considerando suas necessidades e limitações individuais.
A reabilitação neurofuncional inclui uma combinação de fisioterapia, terapia ocupacional, musicoterapia e fonoaudiologia, visando recuperar a mobilidade, a força, a coordenação motora, e as habilidades de comunicação e deglutição.
Os tratamentos são adaptados a cada fase da reabilitação, desde os primeiros estágios, em que o foco é a estabilização e prevenção de complicações, até as fases posteriores, onde o objetivo é restaurar a função e a qualidade de vida.
O uso de técnicas como o Método Bobath, PediaSuit, e a terapia com estímulos sensoriais são integrados ao tratamento para maximizar a recuperação. Além disso, o acompanhamento contínuo e a adaptação do tratamento às mudanças no estado do paciente garantem que o progresso seja constante.
Na NeuroAfetiv, o processo de reabilitação pós-AVC é tratado de forma humanizada e especializada, ajudando paciente a reconquistar a autonomia nas atividades diárias e a retornar à vida com o máximo de independência possível, sempre com um cuidado humanizado e especializado.
Confira algumas das nossas especialidades para o seu tratamento personalizados
Lidar com disfunções neurológicas pode ser por vezes desafiador, por isso contamos com uma equipe multidisciplinar altamente que leva o atendimento necessário até o conforto do seu lar.





